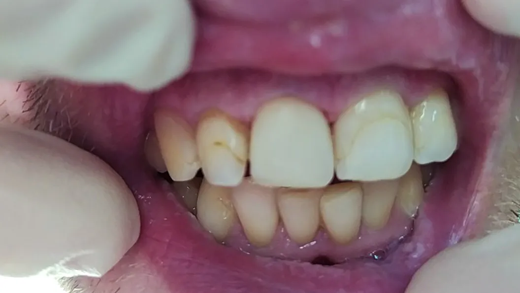
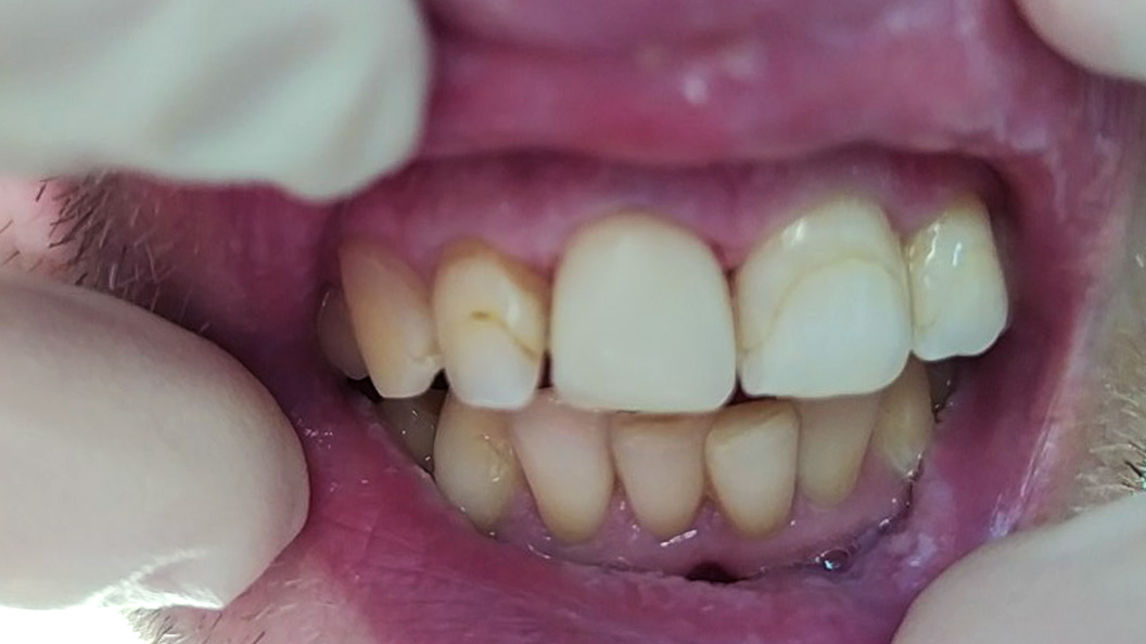
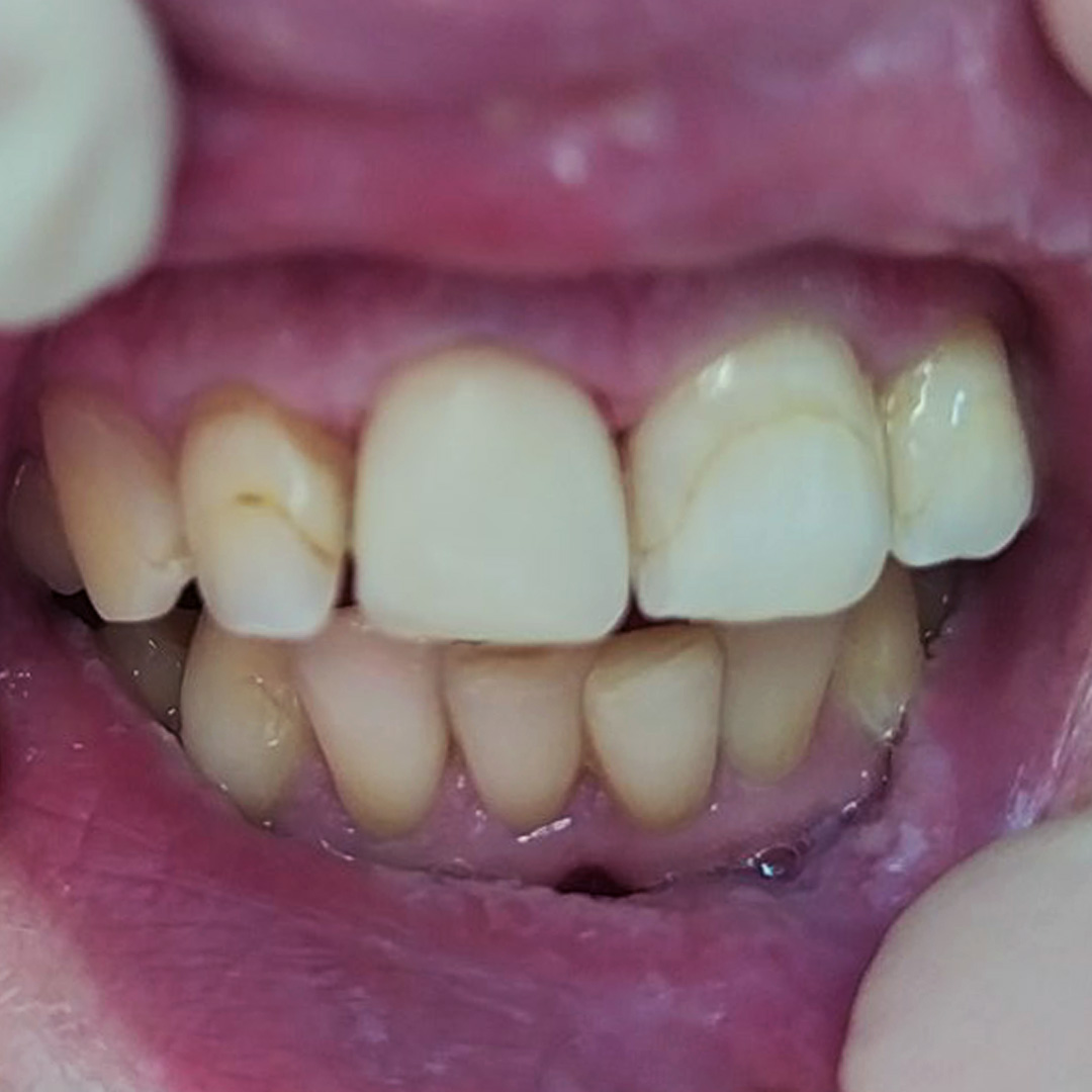
До и после лечения


Осмотр и диагностика
В «Стоматологию Комфорта» обратился пациент с жалобами на выпадение пломбы из 1.1 зуба, скол эмали, а также кратковременные боли при приёме пищи. Осмотрев пациента, врач Игнашина Ольга Васильевна заключила, что необходимо провести лечение и реставрацию зуба композитами. Она также обнаружила дефекты рядом стоящих зубных единиц и рекомендовала повторное посещение для их лечения.
Реставрация зубов композитными пломбировочными материалами — популярный метод, применяемый в эстетической стоматологии. Процедура направлена на восстановление естественной красоты зубов. Для этого устанавливаются индивидуальные пломбы из фотополимера, которые невозможно отличить от натуральных зубов.
Процесс работы
В ходе лечения проведены следующие работы:
- анестезия аппликационная;
- анестезия инфильтрационная;
- формирование кариозной полости бором;
- медикаментозная обработка антисептиком;
- наложение лечебной подкладки;
- наложение разделительной прокладки;
- реставрация 1.1 зуба композитным пломбировочным материалом;
- полировка пломбы полировочными борами и дисками.
Улыбку создавали
Другие работы

Эндодонтическое лечение за два визитаСмотреть работуСрок лечения:2 визита, 2 часаСумма лечения:10 120 руб.
Лечение кариеса с применением светоотверждаемого композита EsteliteСмотреть работуСрок лечения:1 часСумма лечения:6 500 руб.
Мы работаем с 1988 года
Все наши специалисты — профессионалы своего дела. Гарантируем, вам будет оказана квалифицированная помощь.
Высокое качество лечения
Используем лучшие материалы и оборудование. В качестве работы вы можете убедиться, ознакомившись с отзывами.
Доступные цены
Мы стараемся сократить ваши расходы, поэтому регулярно организуем для вас выгодные акции и скидки.
Тёплое отношение
Вам больше не нужно бояться стоматологов. Наши специалисты гарантируют комфортное и безболезненное лечение.
Удобное расположение
6 филиалов в 10 минутах ходьбы от метро в разных районах Санкт-Петербурга. Мы всегда рады вас видеть!
Сервис онлайн-записи
Теперь вы можете записаться к врачу быстро и легко. Просто выберите удобное время и оставьте заявку на приём!


