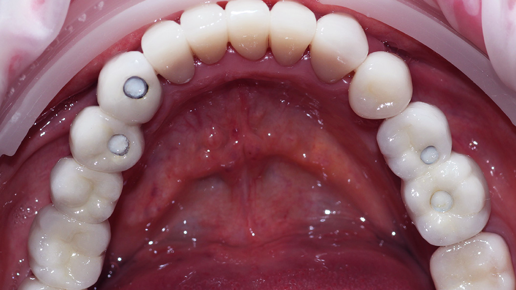
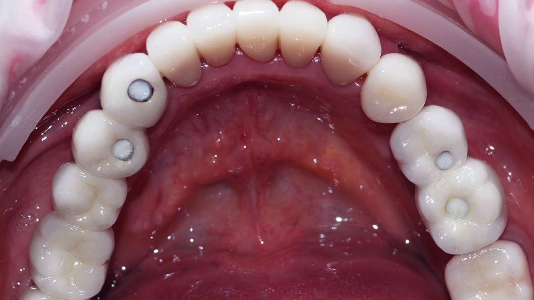
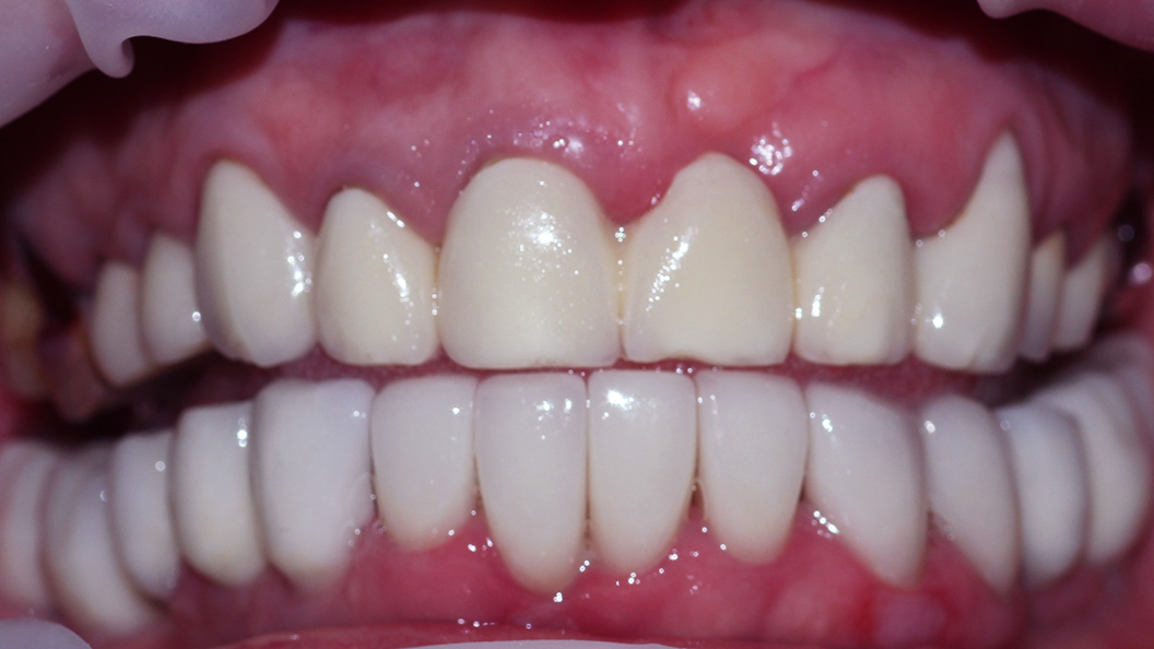
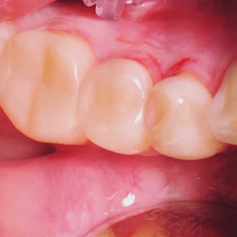
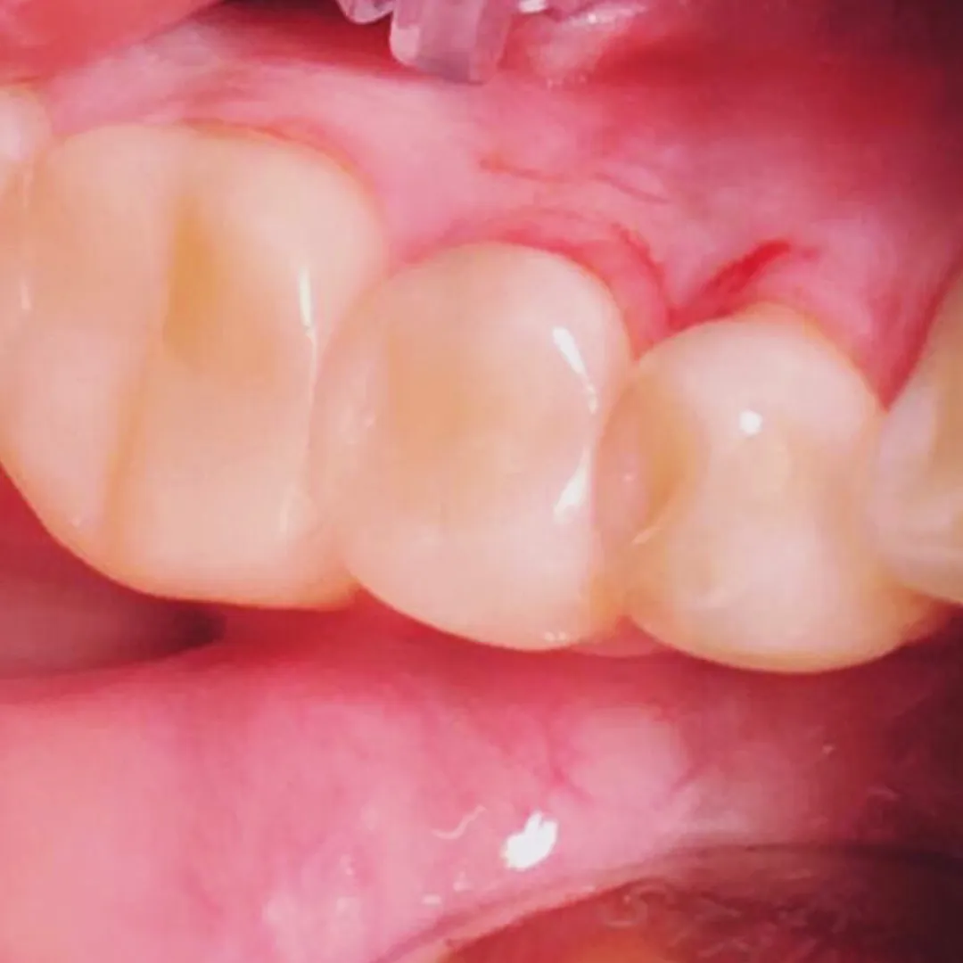
До и после лечения


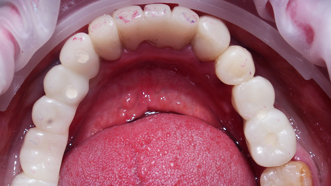
Осмотр и диагностика
В нашу клинику обратилась пациентка с жалобой на отсутствующие зубы на нижней челюсти неудовлетворительный внешний передних зубов.
После консультации и предварительной диагностики ортопед Мельников Алексей Владимирович предложил провести имплантацию с последующим протезированием керамическими и металлокерамическими конструкциями.
Протезирование цельнокерамическими конструкциями считается самым эстетичным вариантом реставраций. Керамика схожа с эмалью зубов, прочна и не окрашивается со временем.
Процесс работы
В ходе лечения были проведены следующие работы:
- санация полости рта;
- установка 5 имплантов системы Nobel;
- установка временных акриловых коронок;
- изготовление и фиксация керамических и металлокерамических коронок.
Улыбку создавали
Другие работы

Имплантация зубов верхней челюсти по методу «all-on-6» с одномоментной установкой условно-съёмного протезаСмотреть работуСрок лечения:5 визитовСумма лечения:304 000 руб.
Смотреть работуСрок лечения:120 минут (2 визита)Сумма лечения:11 860 руб.
Мы работаем с 1988 года
Все наши специалисты — профессионалы своего дела. Гарантируем, вам будет оказана квалифицированная помощь.
Высокое качество лечения
Используем лучшие материалы и оборудование. В качестве работы вы можете убедиться, ознакомившись с отзывами.
Доступные цены
Мы стараемся сократить ваши расходы, поэтому регулярно организуем для вас выгодные акции и скидки.
Тёплое отношение
Вам больше не нужно бояться стоматологов. Наши специалисты гарантируют комфортное и безболезненное лечение.
Удобное расположение
6 филиалов в 10 минутах ходьбы от метро в разных районах Санкт-Петербурга. Мы всегда рады вас видеть!
Сервис онлайн-записи
Теперь вы можете записаться к врачу быстро и легко. Просто выберите удобное время и оставьте заявку на приём!






