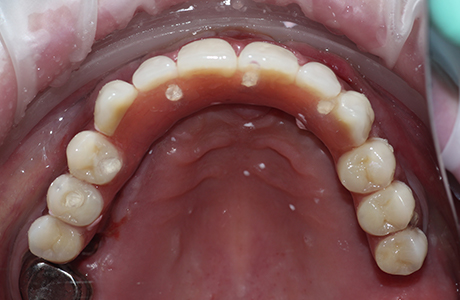
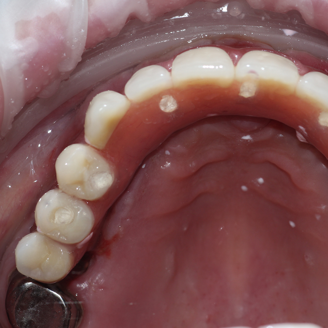
До и после лечения


Осмотр и диагностика
Пациент обратился в клинику за восстановлением разрушенных и отсутствующих зубов верхней челюсти. По результатам осмотра и обследования врач Мельников Алексей Владимирович предложил пациенту имплантацию зубов по методу «all-on-6» с одномоментной установкой условно-съёмного протеза.
Имплантация по методу «all-on-6» позволяет прочно закрепить протез на челюсти с низкой плотностью костной ткани. После имплантации «всё на шести» установку ортопедической конструкции можно произвести сразу, что удобно для пациента, так как нет необходимости несколько дней ходить без зубов.
Процесс работы
Процесс лечения состоял из следующих этапов:
- комплексное обследование;
- вживление имплантов в челюсть;
- установка условно-съёмного протеза.
Улыбку создавали
Другие работы

Установка протеза на верхнюю челюсть через 3 дня после имплантацииСмотреть работуСрок лечения:2 визитаСумма лечения:388 000 р.
Исправление прикуса верхней и нижней челюстей на брекет-системе Damon QСмотреть работуСрок лечения:1,5 годаСумма лечения:148 200 р.
Мы работаем с 1988 года
Все наши специалисты — профессионалы своего дела. Гарантируем, вам будет оказана квалифицированная помощь.
Высокое качество лечения
Используем лучшие материалы и оборудование. В качестве работы вы можете убедиться, ознакомившись с отзывами.
Доступные цены
Мы стараемся сократить ваши расходы, поэтому регулярно организуем для вас выгодные акции и скидки.
Тёплое отношение
Вам больше не нужно бояться стоматологов. Наши специалисты гарантируют комфортное и безболезненное лечение.
Удобное расположение
6 филиалов в 10 минутах ходьбы от метро в разных районах Санкт-Петербурга. Мы всегда рады вас видеть!
Сервис онлайн-записи
Теперь вы можете записаться к врачу быстро и легко. Просто выберите удобное время и оставьте заявку на приём!


