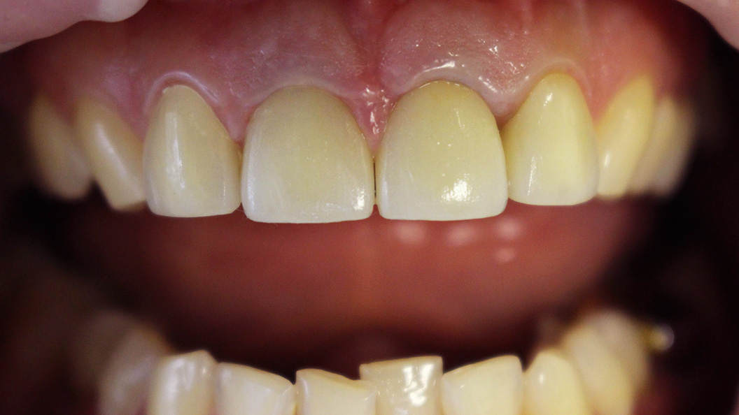
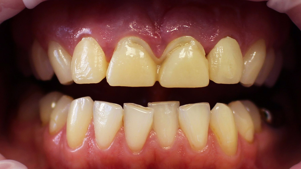
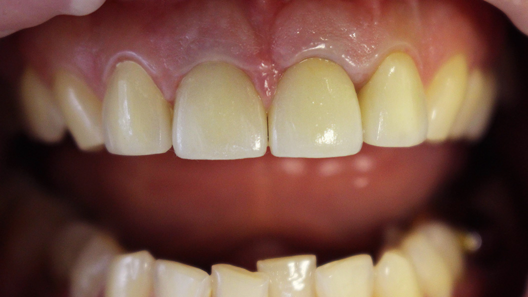
До и после лечения


Осмотр и диагностика
В нашу клинику обратилась пациентка с жалобами на неэстетичный внешний вид старых металлокерамических коронок. После осмотра и проведения необходимой диагностики, врач-ортопед Мельников Алексей Владимирович посоветовал заменить их на коронки из диоксида циркония.
Циркониевые конструкции выдерживают значительные жевательные нагрузки и практически не отличаются от натуральной эмали зубов.
Процесс работы
В ходе лечения были проведены следующие работы:
- подготовка полости рта к протезированию;
- укрепление 11 зуба культевой вкладкой с керамической облицовкой;
- восстановление 2-х зубов композитом по методике «Build-Up»;
- изготовление и фиксация 4-х коронок из диоксида циркония.
Улыбку создавали
Другие работы

Установка 4-х высокоэстетичных коронок из диоксида циркония на передние зубыСмотреть работуСрок лечения:2 визитаСумма лечения:107 000 р.
Удаление зуба при резком обострении хронического пульпитаСмотреть работуСрок лечения:30 минутСумма лечения:4 000 руб.
Мы работаем с 1988 года
Все наши специалисты — профессионалы своего дела. Гарантируем, вам будет оказана квалифицированная помощь.
Высокое качество лечения
Используем лучшие материалы и оборудование. В качестве работы вы можете убедиться, ознакомившись с отзывами.
Доступные цены
Мы стараемся сократить ваши расходы, поэтому регулярно организуем для вас выгодные акции и скидки.
Тёплое отношение
Вам больше не нужно бояться стоматологов. Наши специалисты гарантируют комфортное и безболезненное лечение.
Удобное расположение
6 филиалов в 10 минутах ходьбы от метро в разных районах Санкт-Петербурга. Мы всегда рады вас видеть!
Сервис онлайн-записи
Теперь вы можете записаться к врачу быстро и легко. Просто выберите удобное время и оставьте заявку на приём!







