Портфолио

Восстановление зубов при частичной адентии при помощи имплантов и металлокерамических коронокСмотреть работуСрок лечения:5 визитовСумма лечения:440 000 р.
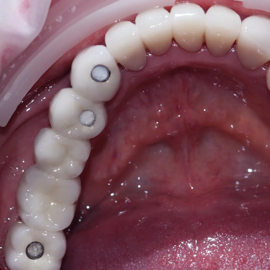
Проведено протезирование на имплантах на верхней челюсти. Установлены импланты и временный протез. Изготовлен и установлен постоянный металлокерамический протезСмотреть работуСрок лечения:3 месяца и 3 неделиСумма лечения:452 000 руб.
Мы работаем с 1988 года
Все наши специалисты — профессионалы своего дела. Гарантируем, вам будет оказана квалифицированная помощь.
Высокое качество лечения
Используем лучшие материалы и оборудование. В качестве работы вы можете убедиться, ознакомившись с отзывами.
Доступные цены
Мы стараемся сократить ваши расходы, поэтому регулярно организуем для вас выгодные акции и скидки.
Тёплое отношение
Вам больше не нужно бояться стоматологов. Наши специалисты гарантируют комфортное и безболезненное лечение.
Удобное расположение
6 филиалов в 10 минутах ходьбы от метро в разных районах Санкт-Петербурга. Мы всегда рады вас видеть!
Сервис онлайн-записи
Теперь вы можете записаться к врачу быстро и легко. Просто выберите удобное время и оставьте заявку на приём!
Обратная связь
Звоните:+7 (812) 407-22-11
Пишите:

