Показания к процедуре
Показания:
- 1. Осмотр у специалиста
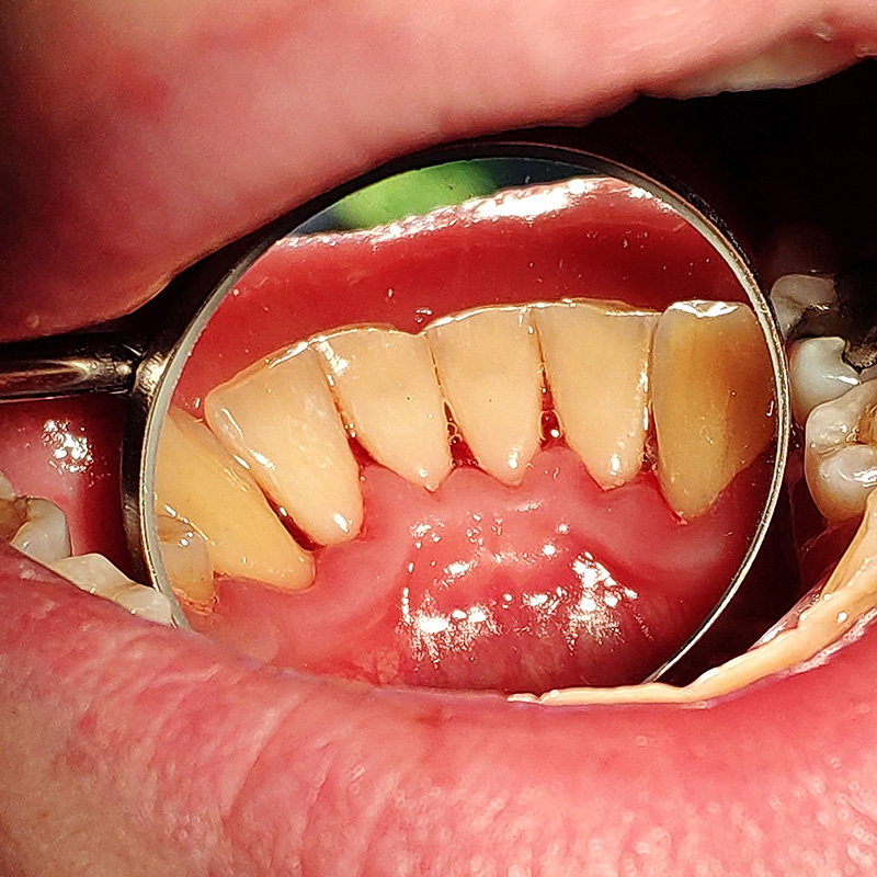
Врач оценивает состояние полости рта и выбирает оптимальный для пациента метод лечения. - 2. Удаления камня ультразвуком
Процедура может вызывать неприятные ощущения, особенно в зонах клиновидных дефектов — оголенных шеек зубов. Чтобы уменьшить дискомфорт, используем аппликационную анестезию: зубы и десна обрабатываются обезболивающим спреем на основе лидокаина. - 3. Полировка эмали
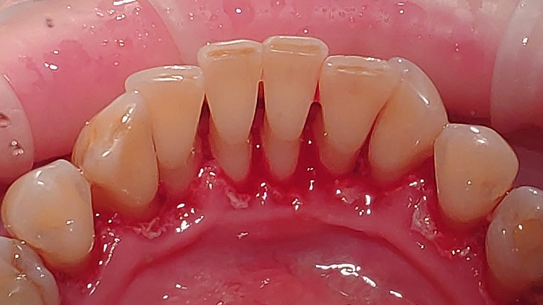
Используются щеточки и полировочные пасты разной степени абразивности. Эмаль полируется для того, чтобы уменьшить повторное скопление налета. Межзубные промежутки шлифуются абразивными полосками. - 4. Реминерализация эмали
Стоматолог на несколько минут наносит на зубной ряд реминерализующий состав на основе кальция и фосфора. Если необходимо, также проводится фторирование эмали (назначается опционально по показаниям).
Преимущества УЗ-чистки
- Проходит быстрее ручной чисткиЕсли удаление зубного камня ручным способом занимает около 2 часов, ультразвук справляется с этим за 30 минут.
- Эффективно удаляет зубные отложенияБлагодаря более тонкому наконечнику ультразвуковой скалер проникает глубже в пародонтальные карманы, лучше очищает эмаль, поддесневые пространства, труднодоступные места.
- Проходит практически безболезненноВода оказывает анестезирующий эффект. В сочетании с аппликационной анестезией процедура доставляет минимум дискомфорта.
- Меньше травмирует эмаль и десныНа зубы оказывается меньшее давление, ниже риск повреждения эмали и травмирования десен.
Противопоказания
Что еще важно знать об ультразвуковой чистке зубов
Чистка ультразвуком:
Рекомендации после процедуры
Чтобы дольше сохранить зубы чистыми придерживайтесь рекомендаций врача в отношении диеты и ухода за полостью рта.
Каждые полгода наблюдайтесь у врача и проводите профессиональную гигиену полости рта – это лучшая профилактика кариеса и заболеваний десен.
Отзывы пациентов
Все отзывыПришла на чистку зубов к Шандро Е.Б.Процедура не из сложных, казалось бы.Но я получила удовольствие от отношения к пациенту.Столь внимательное и профессиональное отношение к своей работе встречается нечасто.Спасибо Вам!
Юлия Евгеньевна делала мне полную гигиеническую чистку перед установкой имплант. Результат меня порадовал, и оказалось совсем не больно.
Огромное спасибо доктору Абдурамановой Марине Ягьяевне. Уже несколько раз делала у нее чистку зубов в клинике на Дыбенко. Очень внимательный, квалифицированный, молодой доктор. Всегда приветливая, доброжелательная, все объясняет. Я раньше очень боялась зубных врачей и старалась отложить поход в стоматологическую клинику как только можно. А теперь регулярно хожу на чистку к моему доктору и всем советую.
Мы работаем с 1988 года
Все наши специалисты — профессионалы своего дела. Гарантируем, вам будет оказана квалифицированная помощь.
Высокое качество лечения
Используем лучшие материалы и оборудование. В качестве работы вы можете убедиться, ознакомившись с отзывами.
Доступные цены
Мы стараемся сократить ваши расходы, поэтому регулярно организуем для вас выгодные акции и скидки.
Тёплое отношение
Вам больше не нужно бояться стоматологов. Наши специалисты гарантируют комфортное и безболезненное лечение.
Удобное расположение
6 филиалов в 10 минутах ходьбы от метро в разных районах Санкт-Петербурга. Мы всегда рады вас видеть!
Сервис онлайн-записи
Теперь вы можете записаться к врачу быстро и легко. Просто выберите удобное время и оставьте заявку на приём!














