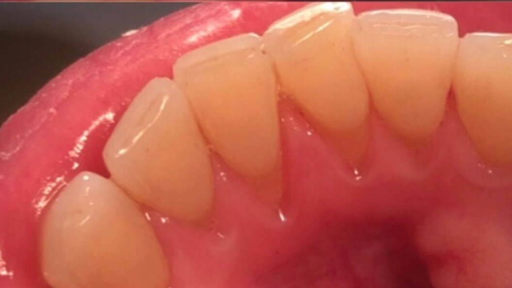
До и после лечения


Осмотр и диагностика
В «Стоматологию Комфорта» обратился пациент с жалобами на наличие зубных отложений, а также кровоточивость дёсен во время чистки зубов. Врач Луцюк Наталья Владимировна провела осмотр и диагностировала хронический катаральный генерализованный гингивит. Было принято решение о проведении профессиональной гигиены полости рта с целью снятия минерализованных зубных отложений ультразвуком и удаления пигментированного налета пескоструйным аппаратом, а также последующей полировкой щеткой с пастой SuperPolish.
Полирование зубов пастой — составная часть профессиональной гигиены. Полировка осуществляется после ультразвуковой чистки с применением щёточек и резиновых чашечек. На поверхность зубов наносится абразивная паста SuperPolish для достижения гладкости зубов. Так налёт не сможет закрепиться на поверхности эмали. Паста наносится непосредственно на зуб, пломбу или щетку для полировки зубного ряда. Нарастание нового слоя отложений и образование зубных камней не побеспокоит пациента долгое время.
Процесс работы
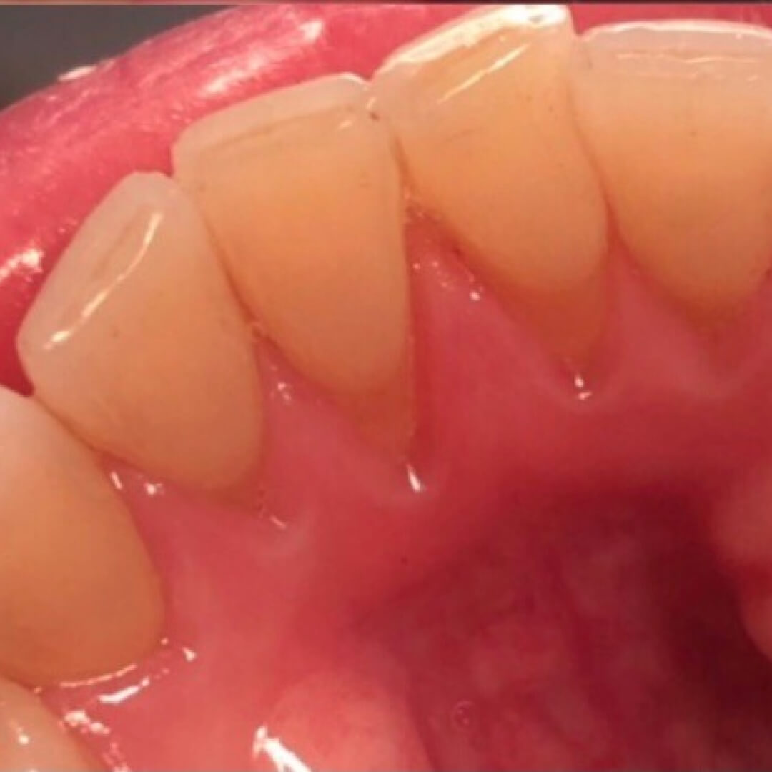
В ходе лечения проведены следующие работы:
- снятие минерализованных зубных отложений ультразвуком;
- удаление пигментированного налёта пескоструйным аппаратом;
- полировка зубов резиновой насадкой;
- финальная шлифовка пастой SuperPolish.
Улыбку создавали
Другие работы

Устранение зубных отложений, осветление эмалиСмотреть работуСрок лечения:1 визитСумма лечения:3 850 р.
Лечение хронического глубокого кариеса, восстановление анатомической формы зубаСмотреть работуСрок лечения:1 визитСумма лечения:6 000 р.
Мы работаем с 1988 года
Все наши специалисты — профессионалы своего дела. Гарантируем, вам будет оказана квалифицированная помощь.
Высокое качество лечения
Используем лучшие материалы и оборудование. В качестве работы вы можете убедиться, ознакомившись с отзывами.
Доступные цены
Мы стараемся сократить ваши расходы, поэтому регулярно организуем для вас выгодные акции и скидки.
Тёплое отношение
Вам больше не нужно бояться стоматологов. Наши специалисты гарантируют комфортное и безболезненное лечение.
Удобное расположение
6 филиалов в 10 минутах ходьбы от метро в разных районах Санкт-Петербурга. Мы всегда рады вас видеть!
Сервис онлайн-записи
Теперь вы можете записаться к врачу быстро и легко. Просто выберите удобное время и оставьте заявку на приём!


