До и после лечения


Осмотр и диагностика
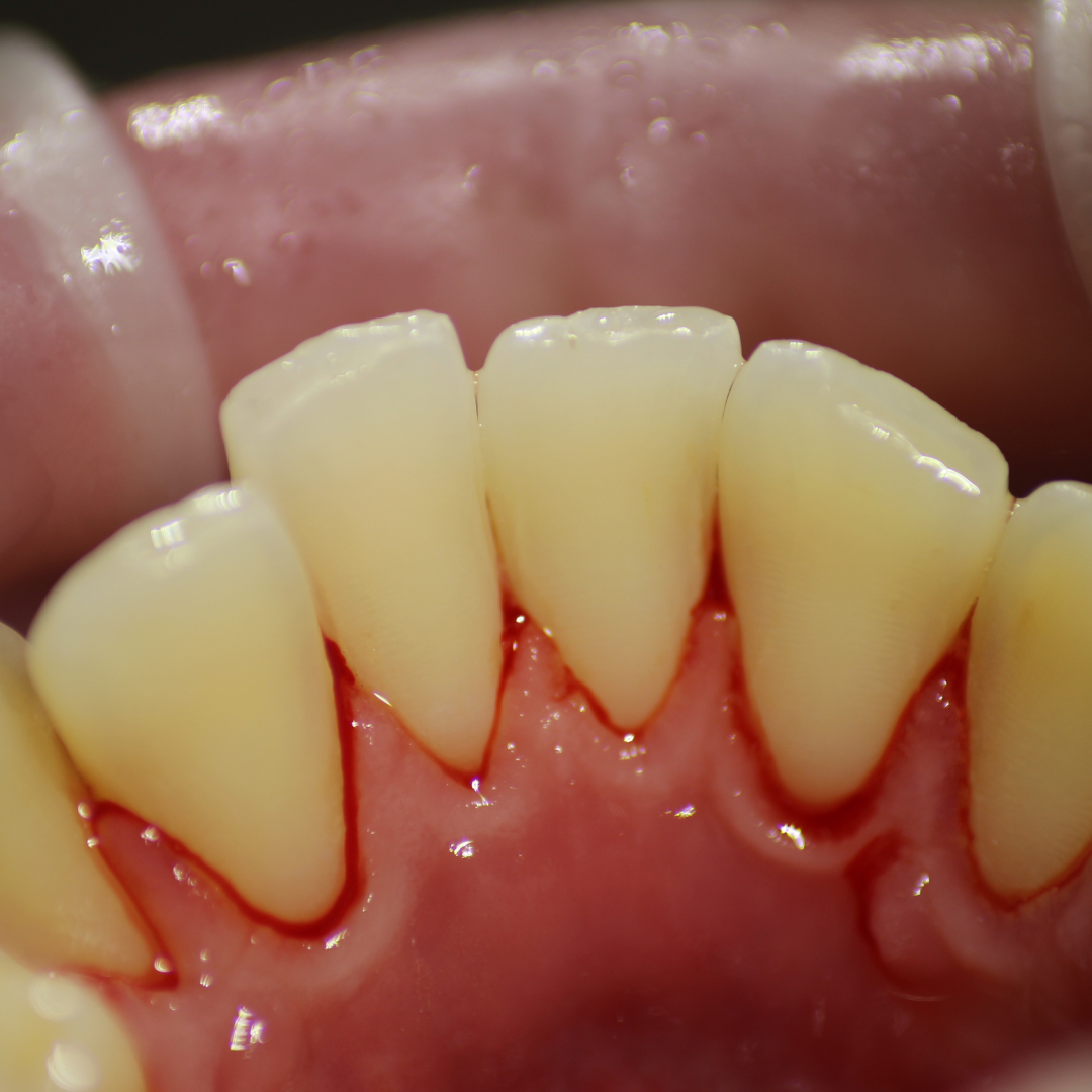
В клинику обратился пациент с жалобами на кровоточивость дёсен, неприятный запах изо рта. Врач Галухина Карина Николаевна осмотрела пациента и выявила простой маргинальный гингивит. Было решено провести процедуру профессиональной гигиены полости рта. В заключение пациенту было рекомендовано использование зубной нити и ирригатора.
Профессиональная гигиена полости рта поддерживает эмаль зубов в оптимальном состоянии. Процедуру следует проводить всем 1 раз в 6 месяцев, а курильщикам и употребляющим крепкий чай или кофе — чаще. Эффективная процедура предотвращает появление кариеса, уменьшает кровоточивость дёсен и устраняет неприятный запах изо рта.
Процесс работы
В ходе лечения проведены следующие работы:
- снятие минерализованных зубных отложений;
- удаление пигментированного налёта;
- полировка зубов резиновой насадкой;
- финальная полировка пастой.
Улыбку создавали
Другие работы



Повышение эстетических показателей путём установки циркониевой коронкиСмотреть работуСрок лечения:2 недели (в 2 этапа)Сумма лечения:35 000 руб.
Мы работаем с 1988 года
Все наши специалисты — профессионалы своего дела. Гарантируем, вам будет оказана квалифицированная помощь.
Высокое качество лечения
Используем лучшие материалы и оборудование. В качестве работы вы можете убедиться, ознакомившись с отзывами.
Доступные цены
Мы стараемся сократить ваши расходы, поэтому регулярно организуем для вас выгодные акции и скидки.
Тёплое отношение
Вам больше не нужно бояться стоматологов. Наши специалисты гарантируют комфортное и безболезненное лечение.
Удобное расположение
6 филиалов в 10 минутах ходьбы от метро в разных районах Санкт-Петербурга. Мы всегда рады вас видеть!
Сервис онлайн-записи
Теперь вы можете записаться к врачу быстро и легко. Просто выберите удобное время и оставьте заявку на приём!


