До и после лечения


Осмотр и диагностика
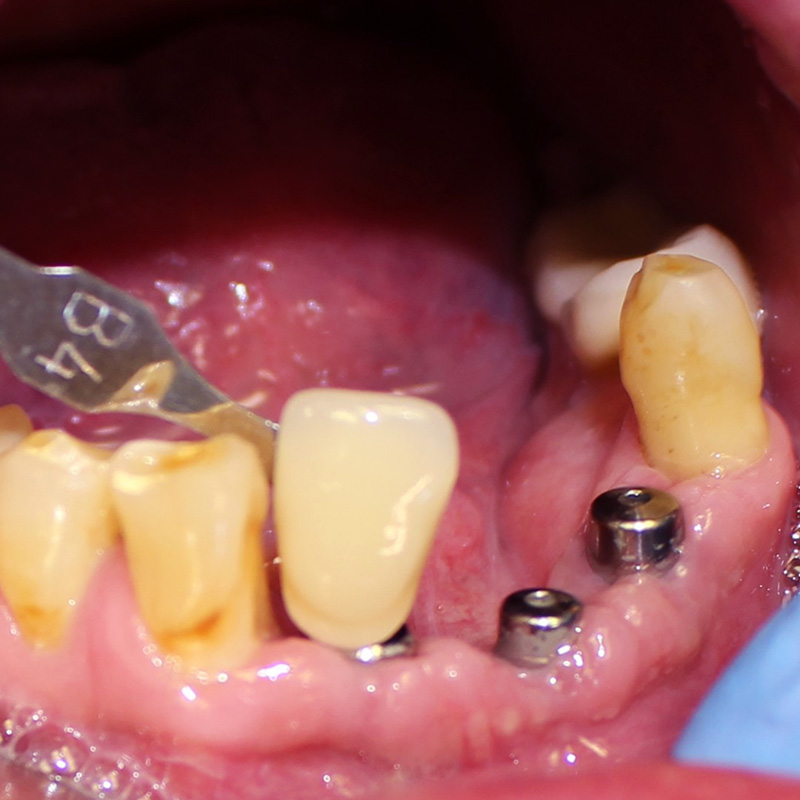
К нам в клинику обратился пациент с жалобой на частично отсутствующие зубы на нижней челюсти.
После осмотра и предварительной диагностики врач Мельников Алексей Владимирович рекомендовал провести имплантацию с последующим протезированием металлокерамическими конструкциями. После согласования плана лечения с пациентом приступили к лечению.
Имплантация считается самым лучшим способом восполнения отсутствующих зубов. Импланты восстанавливают эстетику и жевательную функцию на 100%.
Процесс работы
В ходе лечения были проведены следующие работы:
- санация полости рта;
- установка 3 имплантов системы Alpha Bio;
- изготовление и установка металлокерамических коронок на имлантах системы Alpha Bio.
Улыбку создавали
Другие работы



Удаление наддесневых и поддесневых зубных отложений с помощью ультразвукового аппарата, чистка Airflow и полировка зубовСмотреть работуСрок лечения:50 минутСумма лечения:3 850 руб.
Мы работаем с 1988 года
Все наши специалисты — профессионалы своего дела. Гарантируем, вам будет оказана квалифицированная помощь.
Высокое качество лечения
Используем лучшие материалы и оборудование. В качестве работы вы можете убедиться, ознакомившись с отзывами.
Доступные цены
Мы стараемся сократить ваши расходы, поэтому регулярно организуем для вас выгодные акции и скидки.
Тёплое отношение
Вам больше не нужно бояться стоматологов. Наши специалисты гарантируют комфортное и безболезненное лечение.
Удобное расположение
6 филиалов в 10 минутах ходьбы от метро в разных районах Санкт-Петербурга. Мы всегда рады вас видеть!
Сервис онлайн-записи
Теперь вы можете записаться к врачу быстро и легко. Просто выберите удобное время и оставьте заявку на приём!




