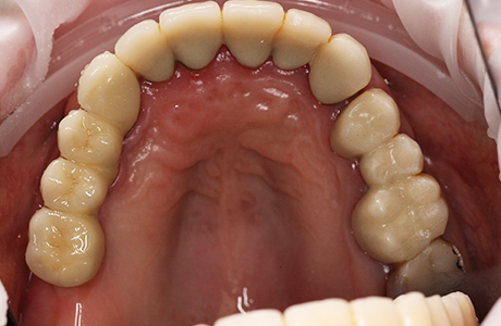
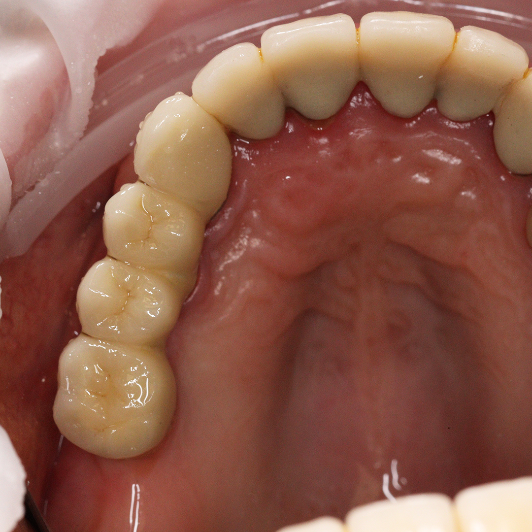
До и после лечения


Осмотр и диагностика
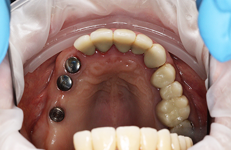
В клинику обратился пациент с жалобой на отсутствие зубов верхней челюсти с левой стороны. В результате осмотра и комплексного обследования врач Мельников Алексей Владимирович предложил пациенту вживить три импланта Анкилоз (Германия) и затем установить на них мостовидную металлокерамическую конструкцию.
Немецкие импланты Ankylos используют стоматологи по всему миру, их активно применяют в Европе и России. Широкий выбор видов имплантов позволяет подобрать вариант практически под любой клинический случай. Анкилоз обеспечивает прочное сцепление импланта с костью, герметичное соединение.
Процесс работы
В ходе лечения врач провёл следующие мероприятия:
- осмотр и обследование пациента;
- санация полости рта;
- установка трёх имплантов Анкилоз на верхнюю челюсть;
- установка мостовидного металлокерамического протеза через 4 месяца.
Улыбку создавали
Другие работы

Эндодонтическое лечение за два визитаСмотреть работуСрок лечения:2 визита, 2 часаСумма лечения:10 120 руб.
Устранение кариозной полости и пломбирование зуба 1.2 светоотверждаемым композитом ЭстелайтСмотреть работуСрок лечения:60 минутСумма лечения:6 500 руб.
Мы работаем с 1988 года
Все наши специалисты — профессионалы своего дела. Гарантируем, вам будет оказана квалифицированная помощь.
Высокое качество лечения
Используем лучшие материалы и оборудование. В качестве работы вы можете убедиться, ознакомившись с отзывами.
Доступные цены
Мы стараемся сократить ваши расходы, поэтому регулярно организуем для вас выгодные акции и скидки.
Тёплое отношение
Вам больше не нужно бояться стоматологов. Наши специалисты гарантируют комфортное и безболезненное лечение.
Удобное расположение
6 филиалов в 10 минутах ходьбы от метро в разных районах Санкт-Петербурга. Мы всегда рады вас видеть!
Сервис онлайн-записи
Теперь вы можете записаться к врачу быстро и легко. Просто выберите удобное время и оставьте заявку на приём!


