До и после лечения


Осмотр и диагностика
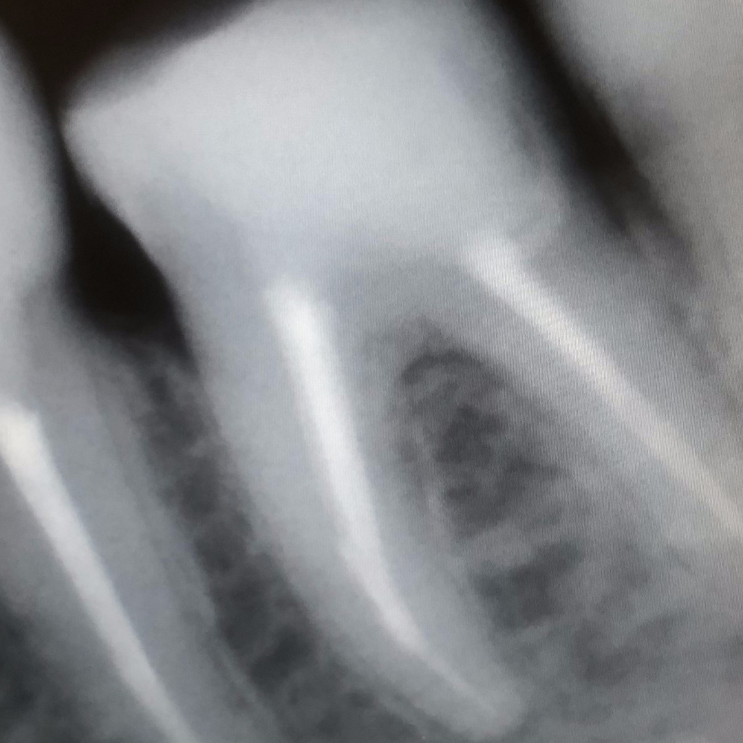
В клинику обратилась пациентка с жалобами на периодическую ноющую боль в нижнем левом зубе, а также застревание пищи между зубами. В ходе осмотра врач Луцюк Наталья Владимировна константировала наличие хронического пульпита 3.6. зуба. Было решено провести восстановление стенки зуба, пломбирование каналов и постановку временной пломбы из материала «Стомафил». После процедуры пациент был направлен к ортопеду для восстановления коронковой части зуба 3.6 коронкой.
Стеклоиономерный цемент «Стомафил» применяется для лечения кариозных поражений 3 и 5 классов. Пломбировочный состав обладает высокой прочностью, оказывает противовоспалительный эффект. Композит подходит для пломбировки практически всех зубов. Пломбы из этого материала также отличаются прекрасными эстетическими показателями и демонстрируют идеальное краевое прилегание.
Процесс работы
В ходе лечения проведены следующие работы:
- введение проводниковой анестезии;
- снятие старой пломбы;
- механическая обработка кариозной полости;
- восстановление отсутствующей стенки материалом Estelite;
- трепанация полости зуба;
- экстирпация пульпы;
- эндодонтическая обработка 3 корневых каналов файлом Reciproc 25;
- медикаментозная обработка 3% гипохлоритом натрия,17% ЭДТА, 3% Н2О2;
- пломбирование каналов гуттаперчей и пастой 2seal;
- постановка временной пломбы из материала «Стомафил».
Улыбку создавали
Другие работы

Установка 4-х высокоэстетичных коронок из диоксида циркония на передние зубыСмотреть работуСрок лечения:2 визитаСумма лечения:107 000 р.
Смотреть работуСрок лечения:12 месяцевСумма лечения:25 000 руб.
Мы работаем с 1988 года
Все наши специалисты — профессионалы своего дела. Гарантируем, вам будет оказана квалифицированная помощь.
Высокое качество лечения
Используем лучшие материалы и оборудование. В качестве работы вы можете убедиться, ознакомившись с отзывами.
Доступные цены
Мы стараемся сократить ваши расходы, поэтому регулярно организуем для вас выгодные акции и скидки.
Тёплое отношение
Вам больше не нужно бояться стоматологов. Наши специалисты гарантируют комфортное и безболезненное лечение.
Удобное расположение
6 филиалов в 10 минутах ходьбы от метро в разных районах Санкт-Петербурга. Мы всегда рады вас видеть!
Сервис онлайн-записи
Теперь вы можете записаться к врачу быстро и легко. Просто выберите удобное время и оставьте заявку на приём!


