До и после лечения


Осмотр и диагностика
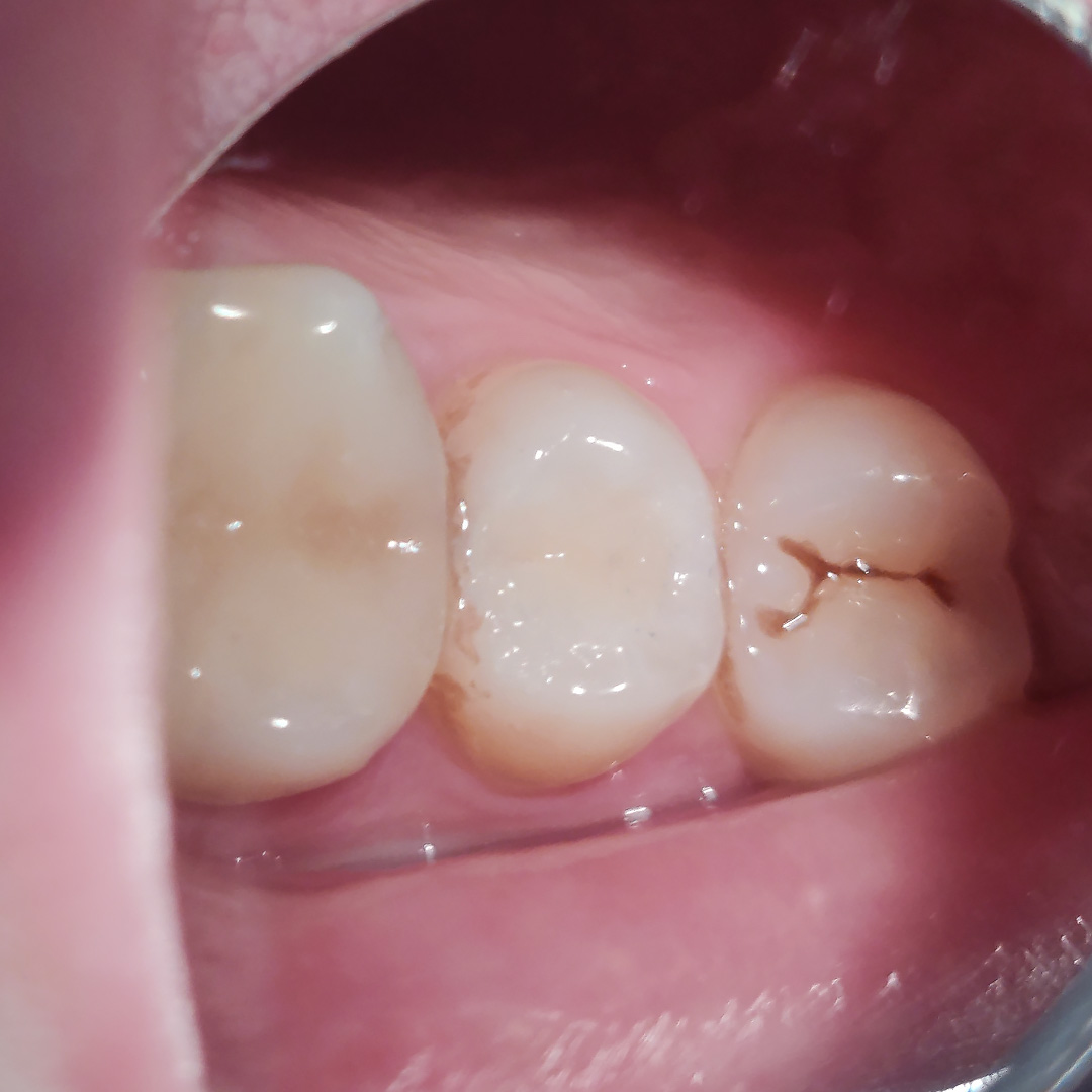
Пациент обратился с жалобами на эстетический недостаток в области правого верхнего зуба. После обработки полости под контролем кариес-маркера была обнаружена полость средней глубины. Дно и стенки плотные, гладкие, при зондировании крепетируют. Реакция не перкуссию и холодную пробу отрицательная. Диагноз — хронический средний кариес.
При среднем кариесе кариозная полость находится в пределах эмали и среднего слоя дентина. Если его не лечить, он может стать глубоким. В хронической форме пациент может обратиться к врачу слишком поздно, потому что нет такой интенсивности болевых ощущений, как при острой форме.
Процесс работы
Ход лечения:
- применение инфильтрационной анестезии Sol. Articaini vs. Adrenalini 1:200000 1.8 ml
- наложение системы коффердам
- механическая обработка кариозной полости
- медикаментозная обработка полости раствором хлоргексидина 2%
- наложение пломбы Estelite Sigma Quick (OA3+A2)
- микроконтурирование и макроконтурирование пломбы
Улыбку создавали
Другие работы

Лечение кариеса дентина с применением светоотверждаемого композита Estelite для восстановления эстетикиСмотреть работуСрок лечения:90 минутСумма лечения:10 500 руб.
Удаление наддесневых и поддесневых зубных отложений с помощью ультразвукового аппарата, чистка Airflow и полировка зубовСмотреть работуСрок лечения:50 минутСумма лечения:3 850 руб.
Мы работаем с 1988 года
Все наши специалисты — профессионалы своего дела. Гарантируем, вам будет оказана квалифицированная помощь.
Высокое качество лечения
Используем лучшие материалы и оборудование. В качестве работы вы можете убедиться, ознакомившись с отзывами.
Доступные цены
Мы стараемся сократить ваши расходы, поэтому регулярно организуем для вас выгодные акции и скидки.
Тёплое отношение
Вам больше не нужно бояться стоматологов. Наши специалисты гарантируют комфортное и безболезненное лечение.
Удобное расположение
6 филиалов в 10 минутах ходьбы от метро в разных районах Санкт-Петербурга. Мы всегда рады вас видеть!
Сервис онлайн-записи
Теперь вы можете записаться к врачу быстро и легко. Просто выберите удобное время и оставьте заявку на приём!


