До и после лечения


Осмотр и диагностика
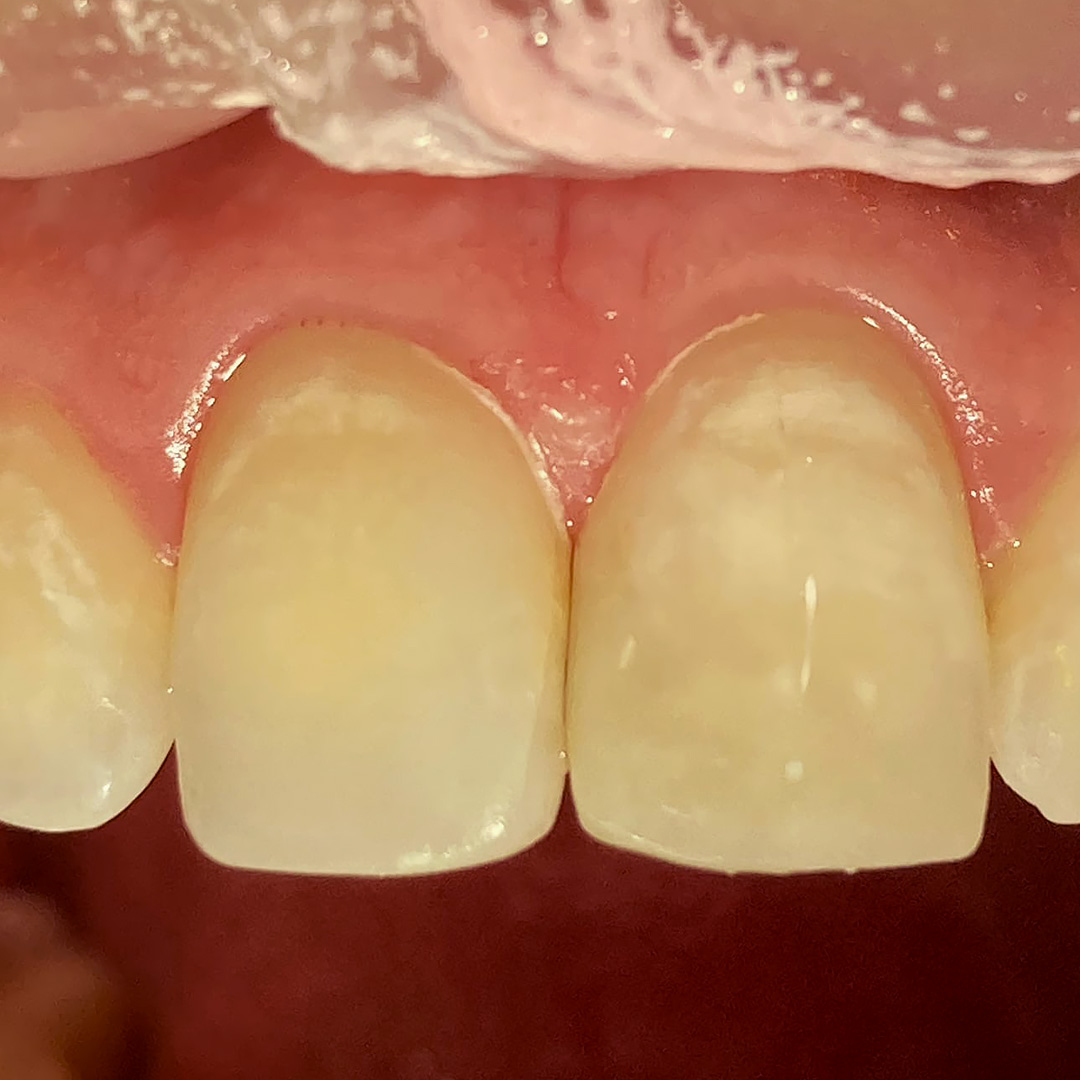
Пациент обратился в «Стоматологию Комфорта» с жалобами на косметический дефект, полученный в результате травмы. Врач Галухина К. Н. после осмотра диагностировала перелом коронки без повреждения пульпы и приняла решение о целесообразности лечения с применением электроодонтодиагностики (ЭОД), с последующей реставрацией скола композитом Estelite.
Estelite — уникальный материал для пломбирования, способный быстро отверждаться под воздействием света. Имеет высокие показатели эстетики и не отличается по цвету от натуральной эмали зубов. Использование Estelite гарантирует успешный результат благодаря долговечности композита. Материал хорошо поддаётся полировке и обладает устойчивостью к истиранию.
Процесс работы
В ходе лечения проведены следующие работы:
- гигиеническая чистка зубов;
- подбор цвета пломбировочного материала;
- введение анестетика;
- наложение коффердама для изоляции зуба;
- проведение ЭОД;
- фторирование повреждённой поверхности;
- реставрация скола путём наращивания при помощи материала Estelite;
- шлифовка и полировка зуба 2.1;
- обработка полости рта.
Улыбку создавали
Другие работы

Эндодонтическое лечение за два визитаСмотреть работуСрок лечения:2 визита, 2 часаСумма лечения:10 120 руб.
Имплантация зубов верхней челюсти с установкой мостовидной металлокерамической конструкции через 4 месяцаСмотреть работуСрок лечения:4 визитаСумма лечения:217 000 руб.
Мы работаем с 1988 года
Все наши специалисты — профессионалы своего дела. Гарантируем, вам будет оказана квалифицированная помощь.
Высокое качество лечения
Используем лучшие материалы и оборудование. В качестве работы вы можете убедиться, ознакомившись с отзывами.
Доступные цены
Мы стараемся сократить ваши расходы, поэтому регулярно организуем для вас выгодные акции и скидки.
Тёплое отношение
Вам больше не нужно бояться стоматологов. Наши специалисты гарантируют комфортное и безболезненное лечение.
Удобное расположение
6 филиалов в 10 минутах ходьбы от метро в разных районах Санкт-Петербурга. Мы всегда рады вас видеть!
Сервис онлайн-записи
Теперь вы можете записаться к врачу быстро и легко. Просто выберите удобное время и оставьте заявку на приём!


