Портфолио



Лечение хронического фиброзного пульпита 13 зубаСмотреть работуСрок лечения:2 часа (2 посещения)Сумма лечения:15 350 руб.
Замена несостоятельной пломбы перед установкой брекет-системыСмотреть работуСрок лечения:3 часаСумма лечения:16 500 руб.
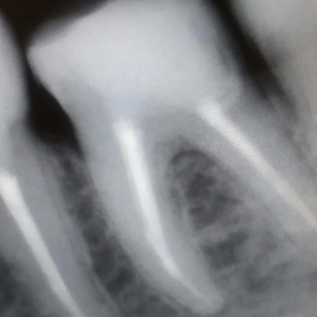
Лечение пульпита, восстановление стенки зуба при помощи композита EsteliteСмотреть работуСрок лечения:1,5 часаСумма лечения:18 000 руб.
Мы работаем с 1988 года
Все наши специалисты — профессионалы своего дела. Гарантируем, вам будет оказана квалифицированная помощь.
Высокое качество лечения
Используем лучшие материалы и оборудование. В качестве работы вы можете убедиться, ознакомившись с отзывами.
Доступные цены
Мы стараемся сократить ваши расходы, поэтому регулярно организуем для вас выгодные акции и скидки.
Тёплое отношение
Вам больше не нужно бояться стоматологов. Наши специалисты гарантируют комфортное и безболезненное лечение.
Удобное расположение
6 филиалов в 10 минутах ходьбы от метро в разных районах Санкт-Петербурга. Мы всегда рады вас видеть!
Сервис онлайн-записи
Теперь вы можете записаться к врачу быстро и легко. Просто выберите удобное время и оставьте заявку на приём!
Обратная связь
Звоните:+7 (812) 407-22-11
Пишите:

