Портфолио

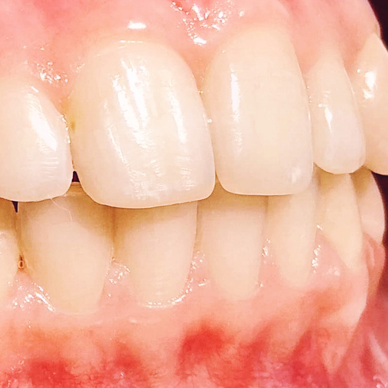
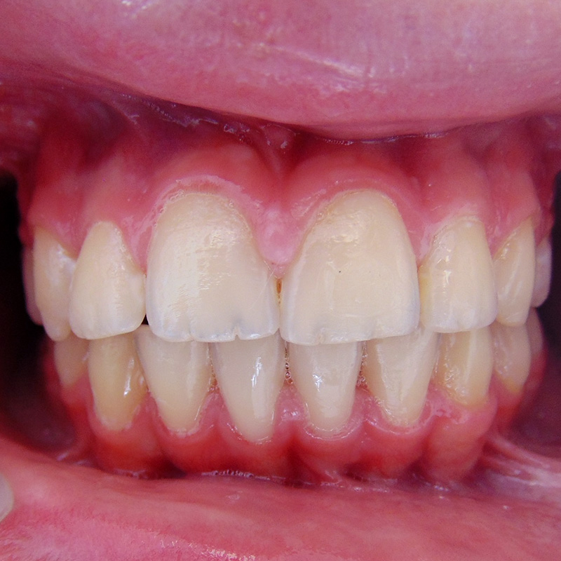
Лечение верхней и нижней челюстей на брекетах Damon QСмотреть работуСрок лечения:1,5 годаСумма лечения:148 200 р.
Исправление прикуса верхней и нижней челюстей на брекет-системе Damon QСмотреть работуСрок лечения:1,5 годаСумма лечения:148 200 р.
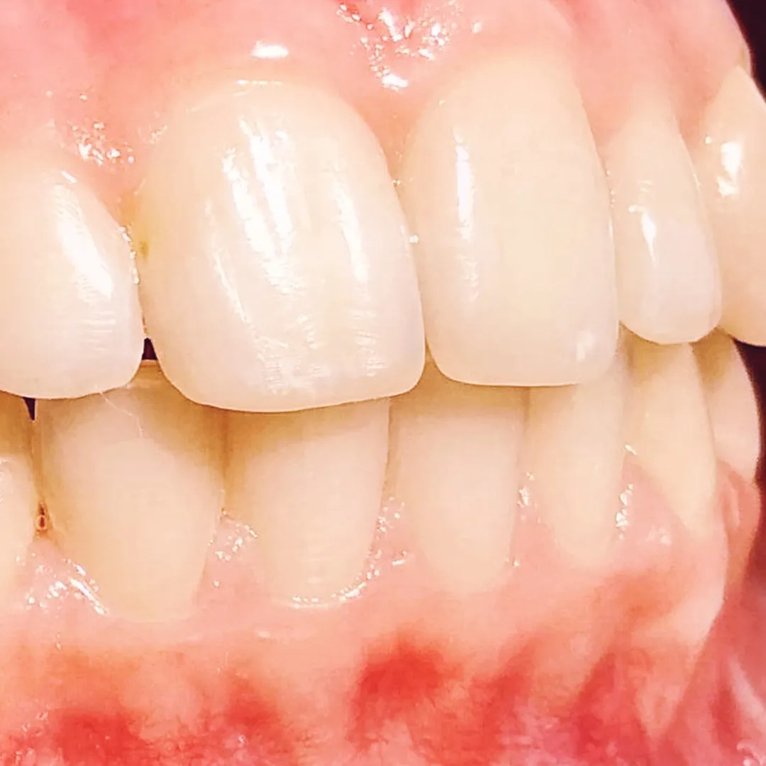
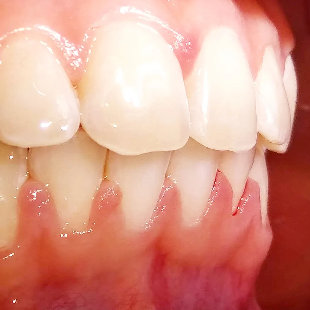
Ортодонтическое лечение верхней и нижней челюстейСмотреть работуСрок лечения:2,5 годаСумма лечения:179 580 р.
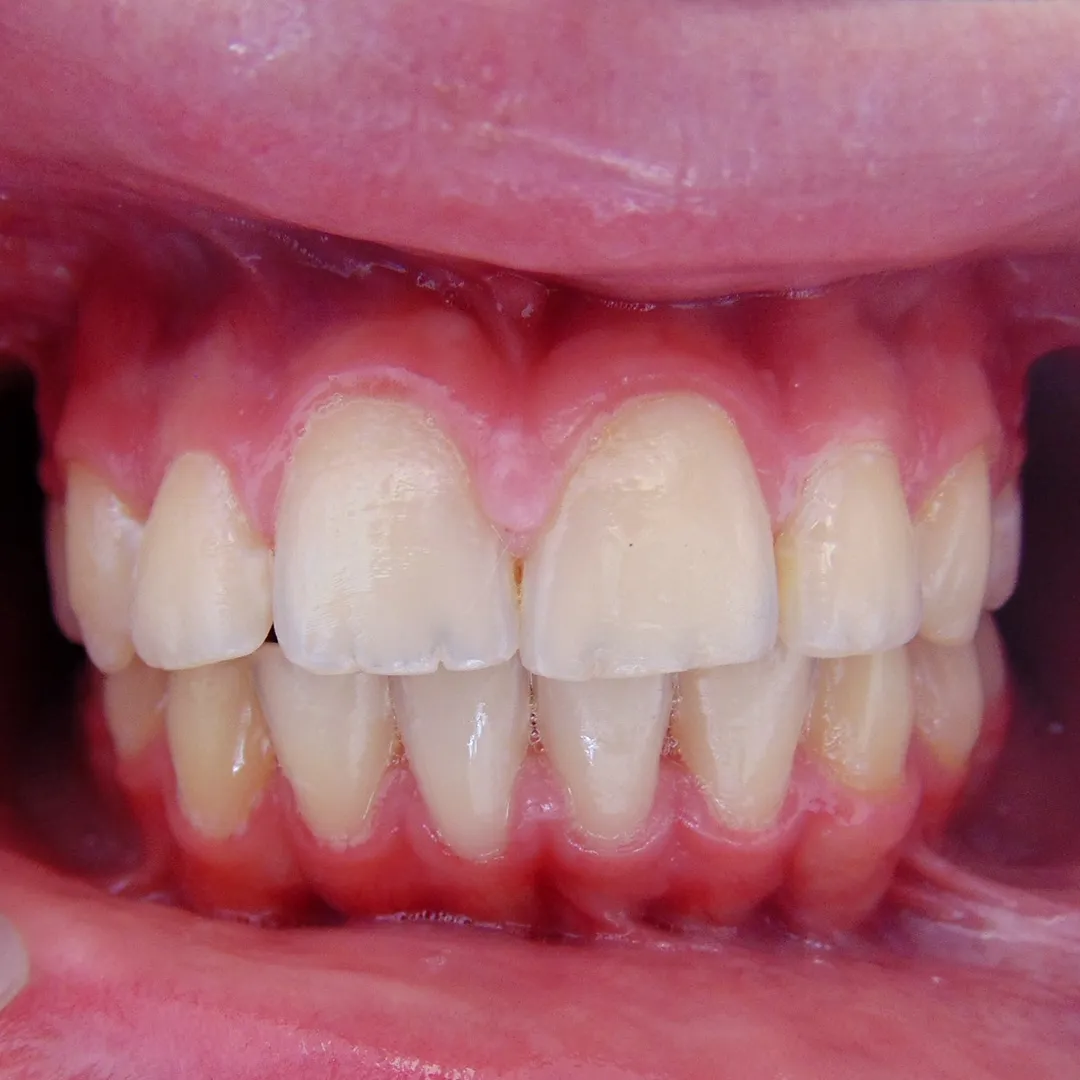
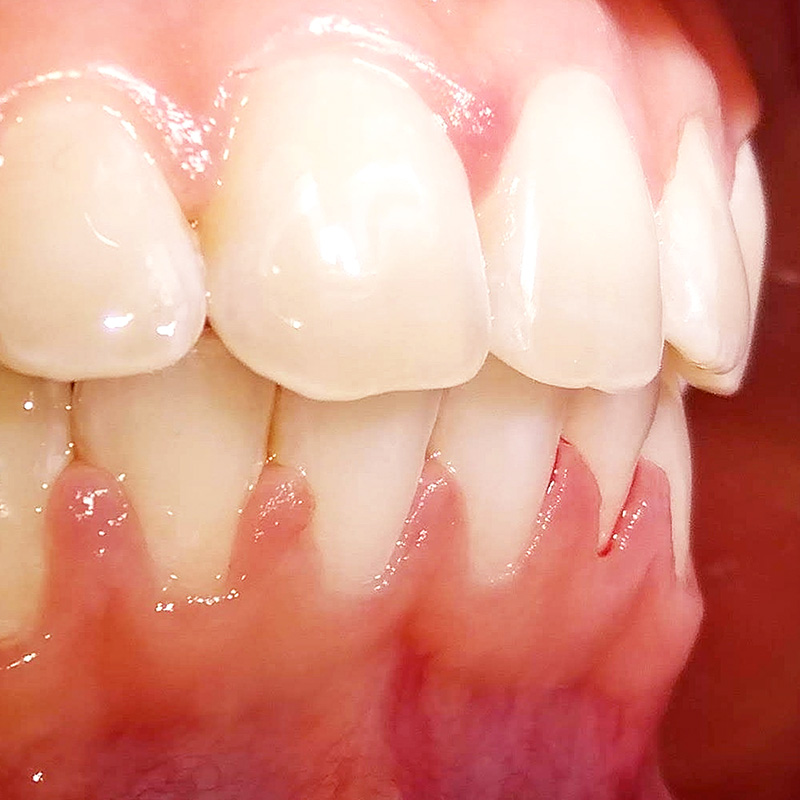
Смотреть работуСрок лечения:20 месяцевСумма лечения:182 000 руб.
Мы работаем с 1988 года
Все наши специалисты — профессионалы своего дела. Гарантируем, вам будет оказана квалифицированная помощь.
Высокое качество лечения
Используем лучшие материалы и оборудование. В качестве работы вы можете убедиться, ознакомившись с отзывами.
Доступные цены
Мы стараемся сократить ваши расходы, поэтому регулярно организуем для вас выгодные акции и скидки.
Тёплое отношение
Вам больше не нужно бояться стоматологов. Наши специалисты гарантируют комфортное и безболезненное лечение.
Удобное расположение
6 филиалов в 10 минутах ходьбы от метро в разных районах Санкт-Петербурга. Мы всегда рады вас видеть!
Сервис онлайн-записи
Теперь вы можете записаться к врачу быстро и легко. Просто выберите удобное время и оставьте заявку на приём!
Обратная связь
Звоните:+7 (812) 407-22-11
Пишите:

