Портфолио

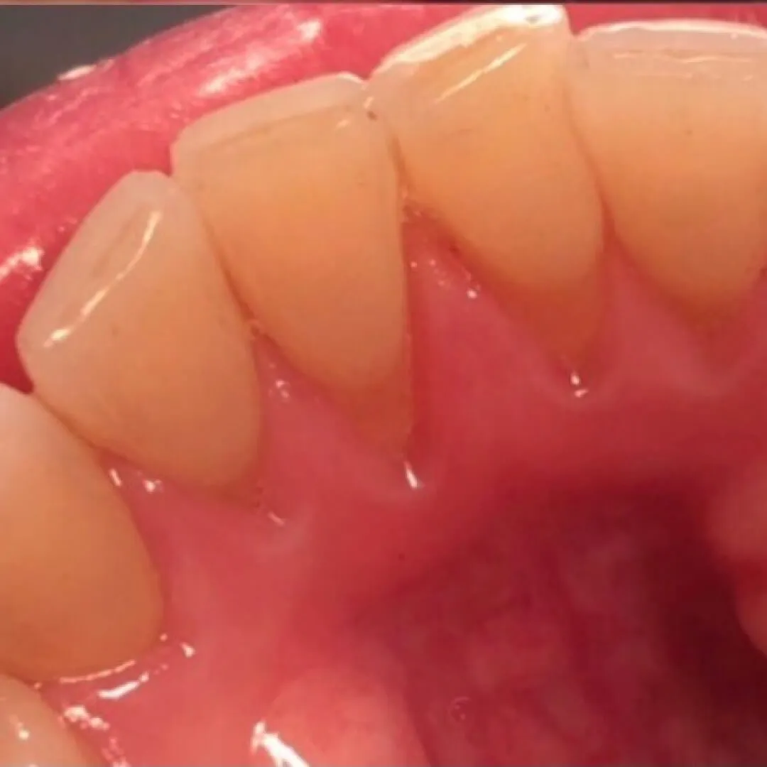
Удаление наддесневых и поддесневых зубных отложений с помощью ультразвукового аппарата, чистка Airflow и полировка зубовСмотреть работуСрок лечения:50 минутСумма лечения:3 850 руб.
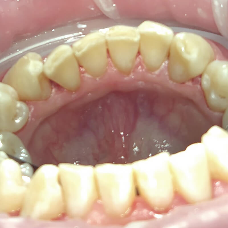
Удаление твёрдых отложений с помощью ультразвука, чистка Air Flow и полировка зубовСмотреть работуСрок лечения:50 минутСумма лечения:3 850 руб.
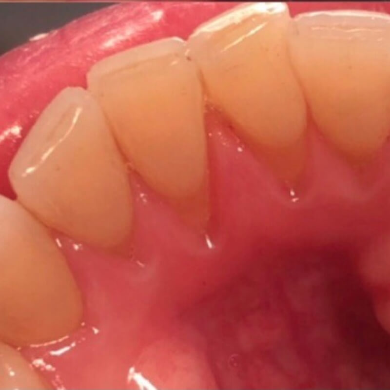
Проведение профессиональной гигиены для удаления налёта и лечения гингивитаСмотреть работуСрок лечения:40 минутСумма лечения:3 850 руб.
Выполнение профессиональной гигиены для снятия минерализованных зубных отложений и пигментированного налётаСмотреть работуСрок лечения:1 часСумма лечения:3 850 руб.
Мы работаем с 1988 года
Все наши специалисты — профессионалы своего дела. Гарантируем, вам будет оказана квалифицированная помощь.
Высокое качество лечения
Используем лучшие материалы и оборудование. В качестве работы вы можете убедиться, ознакомившись с отзывами.
Доступные цены
Мы стараемся сократить ваши расходы, поэтому регулярно организуем для вас выгодные акции и скидки.
Тёплое отношение
Вам больше не нужно бояться стоматологов. Наши специалисты гарантируют комфортное и безболезненное лечение.
Удобное расположение
6 филиалов в 10 минутах ходьбы от метро в разных районах Санкт-Петербурга. Мы всегда рады вас видеть!
Сервис онлайн-записи
Теперь вы можете записаться к врачу быстро и легко. Просто выберите удобное время и оставьте заявку на приём!
Обратная связь
Звоните:+7 (812) 407-22-11
Пишите:

