Портфолио

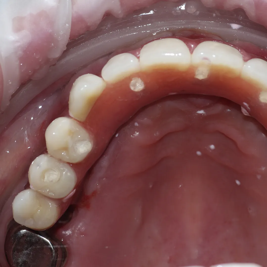
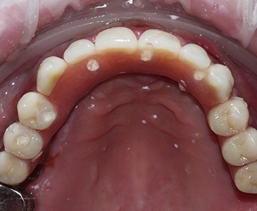
Установка прикручиваемого протеза на импланты системы Alpha BioСмотреть работуСрок лечения:3 визитаСумма лечения:246 000 р.
Тотальная реабилитация при помощи диоксид-циркониевых коронокСмотреть работуСрок лечения:4 визитаСумма лечения:297 000 р.
Имплантация зубов верхней челюсти по методу «all-on-6» с одномоментной установкой условно-съёмного протезаСмотреть работуСрок лечения:5 визитовСумма лечения:304 000 руб.
Восстановление верхней челюсти по методу «All-on-4», а также нижней с помощью коронок и бюгельного протезаСмотреть работуСрок лечения:6 визитовСумма лечения:318 000 руб.
Мы работаем с 1988 года
Все наши специалисты — профессионалы своего дела. Гарантируем, вам будет оказана квалифицированная помощь.
Высокое качество лечения
Используем лучшие материалы и оборудование. В качестве работы вы можете убедиться, ознакомившись с отзывами.
Доступные цены
Мы стараемся сократить ваши расходы, поэтому регулярно организуем для вас выгодные акции и скидки.
Тёплое отношение
Вам больше не нужно бояться стоматологов. Наши специалисты гарантируют комфортное и безболезненное лечение.
Удобное расположение
6 филиалов в 10 минутах ходьбы от метро в разных районах Санкт-Петербурга. Мы всегда рады вас видеть!
Сервис онлайн-записи
Теперь вы можете записаться к врачу быстро и легко. Просто выберите удобное время и оставьте заявку на приём!
Обратная связь
Звоните:+7 (812) 407-22-11
Пишите:

