Портфолио

Выполнение профессиональной гигиены для снятия минерализованных зубных отложений и пигментированного налётаСмотреть работуСрок лечения:1 часСумма лечения:3 850 руб.
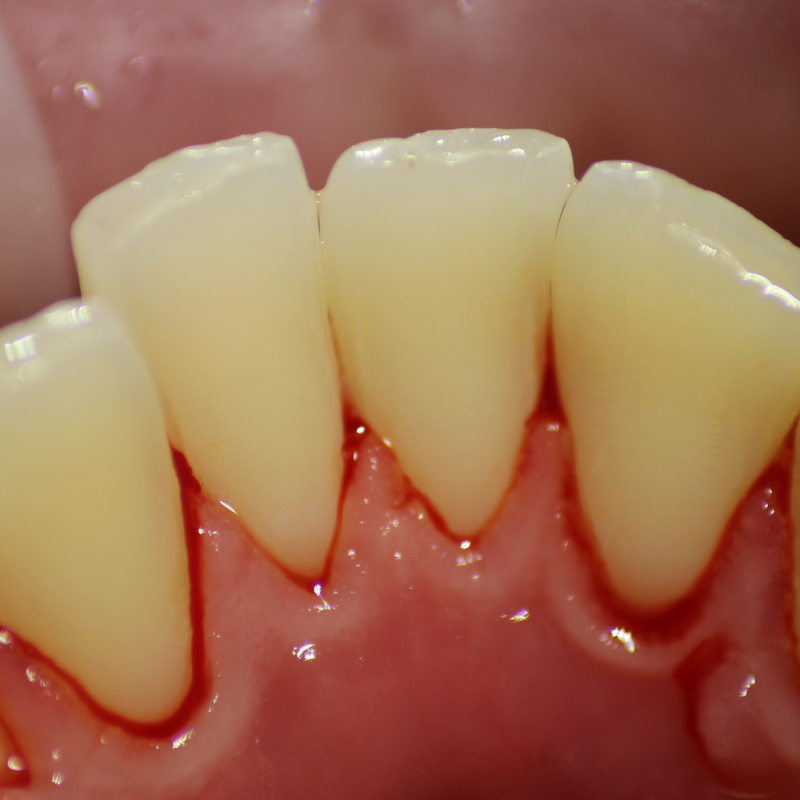
Процедура профессиональной гигиены для снятия минерализованных зубных отложений и пигментированного налётаСмотреть работуСрок лечения:40 мин.Сумма лечения:3 850 руб.
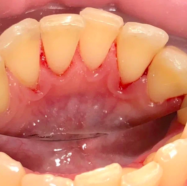
Процедура профессиональной гигиены для снятия минерализованных зубных отложений и пигментированного налёта.Смотреть работуСрок лечения:45 мин.Сумма лечения:3 850 руб.
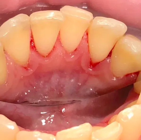
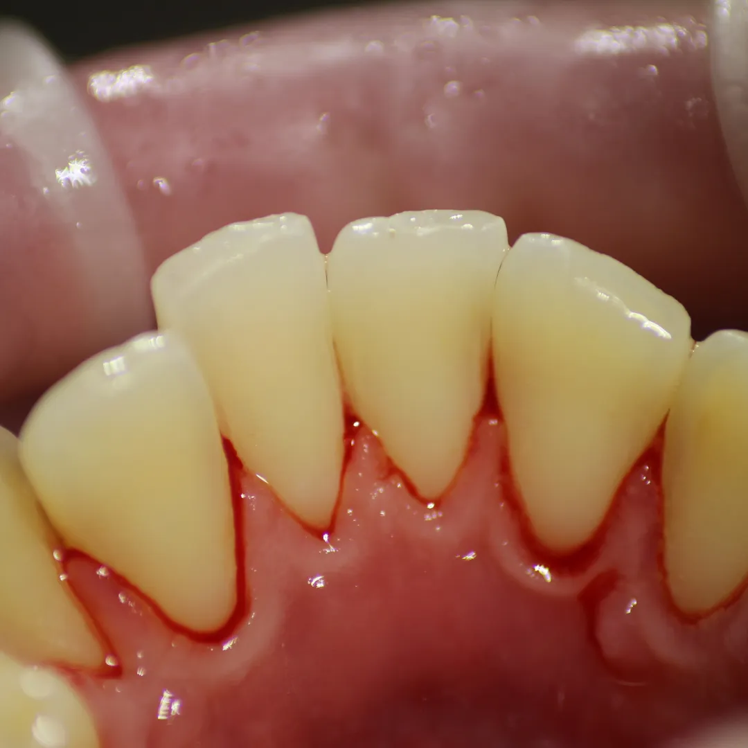
Удаление десневых и зубных отложений с помощью УЗ-аппаратаСмотреть работуСрок лечения:60 мин.Сумма лечения:3 880 руб.
Мы работаем с 1988 года
Все наши специалисты — профессионалы своего дела. Гарантируем, вам будет оказана квалифицированная помощь.
Высокое качество лечения
Используем лучшие материалы и оборудование. В качестве работы вы можете убедиться, ознакомившись с отзывами.
Доступные цены
Мы стараемся сократить ваши расходы, поэтому регулярно организуем для вас выгодные акции и скидки.
Тёплое отношение
Вам больше не нужно бояться стоматологов. Наши специалисты гарантируют комфортное и безболезненное лечение.
Удобное расположение
6 филиалов в 10 минутах ходьбы от метро в разных районах Санкт-Петербурга. Мы всегда рады вас видеть!
Сервис онлайн-записи
Теперь вы можете записаться к врачу быстро и легко. Просто выберите удобное время и оставьте заявку на приём!
Обратная связь
Звоните:+7 (812) 407-22-11
Пишите:

